在线客服

售前客服

1011398288
1853279391

售后客服

2762468926
724792780

客户服务热线

0592-5027064

脉购健康管理系统(软件)包含:客户开卡、健康档案、问卷调查、问诊表、自动设置标签、自动随访、健康干预、健康调养、历年指标趋势分析、疾病风险评估、饮食/运动/心理健康建议、同步检查报告数据、随访记录、随访电话录音、健康阶段总结、打印健康报告等

标签:健康管理、健康管理软件、体检预约、体检商城、体检预约系统、健康管理系统、脉购健康管理系统、脉购健康管理软件、脉购体检商城软件/系统


图片



一张胸片挽救生命!




青年男性,平素体健,2月前曾因“脑梗”在外地治疗后好转。由于外地疫情发生,回当地没多久,出现发热、咳嗽、咳痰、心慌不适症状。疾病发展很迅速,才2天时间,患者觉得呼吸困难加重了,来到当地医院就诊。由于有新冠疫区接触史,新冠相关排查在进行。


当地入院后,病情迅速恶化送入重症加强护理病房(ICU),呼吸困难加重,吸氧状态下仍无法缓解,给予气管插管呼吸机机械通气,但呼吸机纯氧状态下,氧合仍维持较低水平,同时循环也靠血管升压药物维持。当地基层医院“不明原因重症肺炎,肺水肿,呼吸衰竭,休克”转诊至上级医院拟行体外膜肺氧合(ECMO)治疗。


上级医院接诊后,重症医学科医生针对重症肺炎相关病原学进行了详细检查,并没有阳性发现。呼吸机参数进行调整,氧合也有所改善,并不需要马上使用ECMO治疗。到底是什么病因导致肺炎及肺水肿进展如此迅速?正为病因一筹莫展的时候,一张胸片提供了诊断思路。


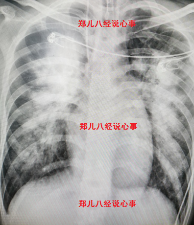
图片

图1 胸部平片显示典型的双侧肺门蝶形影

 

很快锁定重症肺炎、肺水肿的原因可能是心源性。心肺听诊也有阳性发现:二尖瓣听诊区可闻及收缩期2~3级杂音,肺部有湿性啰音。经胸心脏彩超发现二尖瓣前叶脱垂并二尖瓣重度关闭不全。


经食管超声进一步证实了上述诊断。血培养阴性,心电图没有发现心梗改变。氨基末端脑钠肽前体及高敏心肌肌钙蛋白指标。


明确心源性肺水肿、感染性心内膜炎、二尖瓣赘生物并重度关闭不全,加强利尿治疗同时启动手术程序。术中及术后病理证实为慢性心内膜炎。术后心肺功能好转,复查胸片双侧肺门蝶形影消失(图3)。


图片

图3 术后胸片与图1胸片时间仅差4天,术后肺水肿迅速消失,胸片上典型的双侧肺门蝶形影消失



什么是心源性肺水肿?



1
什么是肺水肿?


由于某种原因导致肺内组织液的生成和回流平衡失调,大量组织液在短时间内不能被肺淋巴和肺静脉系统吸收,积聚在肺泡肺间质和细小支气管内,从而造成肺通气与换气功能严重障碍。从病因上分,临床上引起肺水肿主要分为心源性和非心源性两类。

 

2
心源性肺水肿


当心力衰竭发生时,由于肺动脉压力升高导致肺毛细血管静水压升高,继而导致肺组织的渗出增多,形成肺淤血甚至肺水肿。非心源性肺水肿是由各类损伤因素直接损伤毛细血管壁导致肺毛细血管通透性增加所致。

 

3
导致心源性肺水肿的原因


包括任何原因导致的心功能衰竭,如瓣膜性心脏病、先天性心脏病、心律失常、心肌病、肺血管病等。本例患者为瓣膜性心脏病,二尖瓣重度关闭不全导致急性左心衰肺水肿。



心源性肺水肿的影像学表现



心源性肺水肿的典型影像学表现包括以下:


1
蝶形影或者蝙蝠翼样表现

图片

图4 胸部CT中红星号显示双肺门蝶形影或者蝙蝠翼样表现,红箭头显示双侧胸腔积液(该患者为二尖瓣脱垂重度关闭不全,心衰肺水肿)

 

2
小叶间隔增厚或叶间裂增厚


图片

图5 CT显示叶间裂增厚(红箭头所示),该患者为主动脉瓣关闭不全,急性左心衰肺水肿。


本例总结


(1)新冠疫情常态化防治的环境下,不明原因重症肺炎的鉴别诊断不要忘记心源性;


(2)重视最基本的体格检查,如心肺听诊;


(3)病史、既往史要详细询问,本例年轻人2月前出现的一过性脑梗症状可能是因为瓣膜赘生物脱落导致的,当时没有考虑心源性因素,没有评估心脏瓣膜;


(4)心脏瓣膜病变,及早应用心脏彩超评估瓣膜情况;


(5)早期诊断,正确治疗方案是成功救治的关键。





本文首发:医学界心血管频道

本文作者:郑智

责任编辑:袁雪晴 章丽





文章来源网络,如有侵权,请联系删除


来源:https://www.maigoucrm.com

上一篇:肿瘤科医生:21种癌症的典型表现列全了!      下一篇:高血压一定要做对这 2 件事!| 世界高血压日